SS18 (SYT) gene break apart probe reagent

SKU: FP-055
SS18 (SYT) gene break apart probe reagent
Regular,in stock
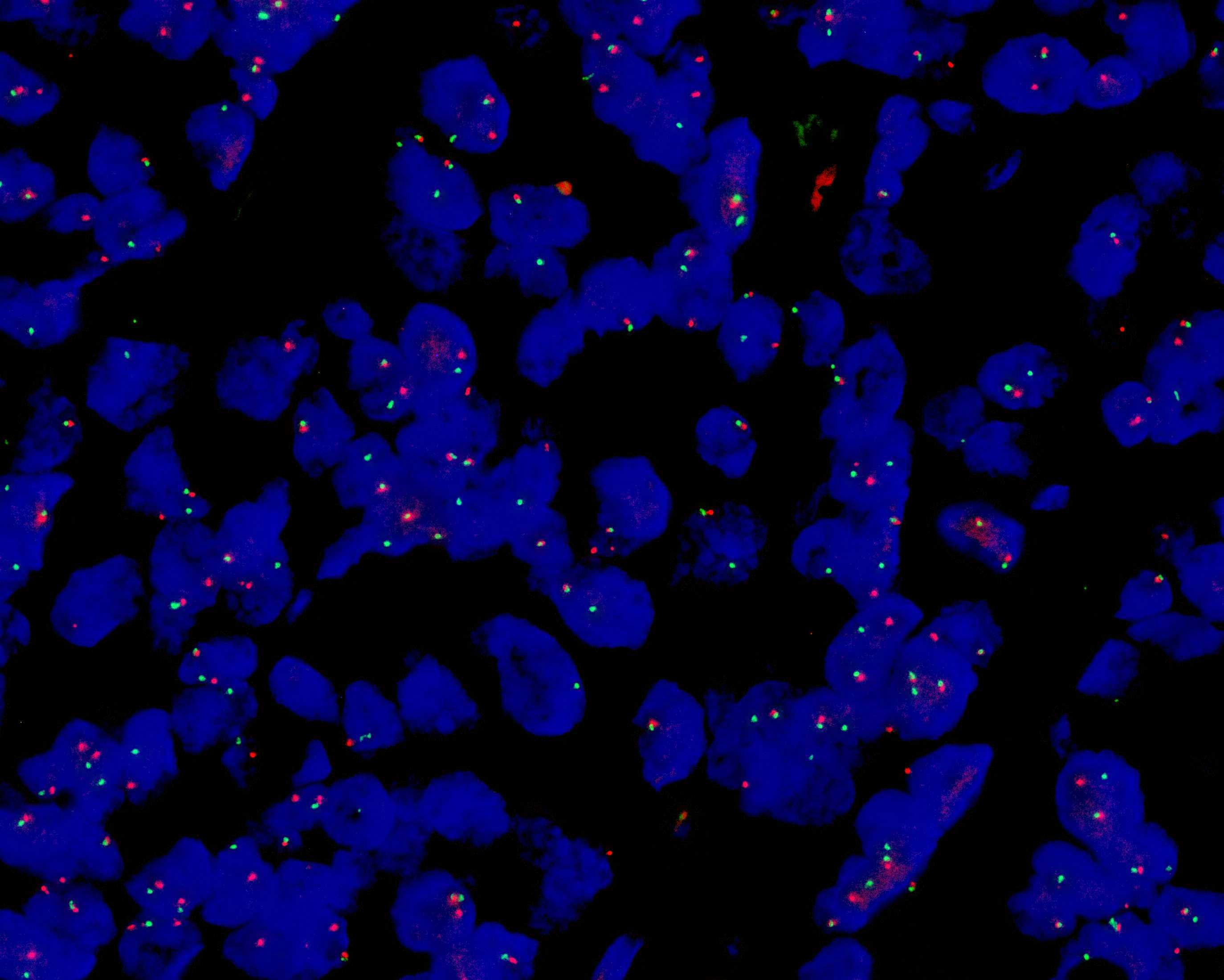
SS18 dual color probe
Description:
SS18 (SYT) gene 5’ end labeled as orange, with a length of 400 kb; SS18 (SYT) gene 3’ end labeled as green, with a length of 957 kb.
Reference:
Surace C, et al. (2004) Lab Invest 84: 1185-92. Torres L, et al. (2008) Cancer Genet Cytogenet 187: 45-9.